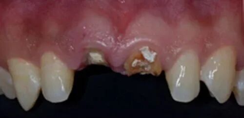
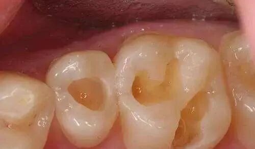
一 . 调磨问题 无论是戴烤瓷冠还是牙齿充填后的咬合高点,有很多医生一边问患者是否咬合高,一边用咬合纸试。用钻头磨去所有的染色点,再重复上诉过程直到患者说不高了为止。这是非常错误的。这时其实该牙齿和对侧牙已经在正常合位关系时已经不接触了,这时再试咬合纸已经没有了染色点。牙齿不接触后就是低咬合了,只有通过俩牙齿的伸长重新建立咬合关系了。 患者无论躺在牙科椅还是站立情况下上去故意咬合一侧牙齿,即便所有的牙齿都是正常的牙齿在正常合和侧方合时也感觉后牙有高点存在的。因为当人故意去咬一侧的牙齿时候,该侧闭合肌群先收缩,在对侧颞合关节可动配合下形成轻微早接触,给人错误感觉到该侧有早接触。正常人的牙齿用咬合纸咬合也会显示染色点的,不是早接触点,只不过是功能尖的均匀淡染罢了,这时前伸,侧方,正中颌位时才能达到咀嚼效率最高。所以调咬合高点时候只要调到没有深色实心的染色点即可,功能尖的均匀淡染是正常的。等到患者故意咬合一侧时候感觉不高的时候咬合纸都不染色了,说明正中侧方都接触不上了。正确方法是调到功能尖淡染,而健侧用咬合纸试有接触点且能咬住并撕断咬合纸为适宜。 二 . 残根保留问题 并不是龋坏或者折断到压槽嵴下的牙根都需要拔除,去净腐质后达到牙槽嵴下2--3毫米的残根可以通过牵引或者冠延长后根管治疗,在保证冠根比例的前提下加以单冠修复,不够的做连冠。对于一侧与牙槽嵴平行,另一侧在牙槽嵴下的斜行折断或者龋坏,值得注意的是缺损至牙槽骨一侧要备成缺损平面,有利于抗力。桩一定要选择纯钛桩,因为其直接与牙龈及下面的牙槽骨接触。纯钛组织相容性好,不刺激骨组织和牙周组织不会引起炎症也不会刺激牙龈细胞变色和恶变。 三 . 戴烤瓷冠的应力集中问题 常有患者烤瓷修复后轴面非咬合受力部位出现崩瓷现象。 原因如下 1. 基牙肩台预备过窄或者无肩台 2. 基牙预备锥度过大,远远超过5度 3. 邻接点过紧未调磨到位,牙线不能通过 以上3种情况粘冠时嘱患者用力咬合烤瓷冠形成挠曲应力,用一段时间后应力集中过大而发生崩瓷。 四 .桩的长度预备不足问题 此类问题非常常见,做桩长度为根长的2/3-3/4,即距离根尖3--5MM,直径达根的三分之一。这样才能有良好的固位和强度,桩过短常常是修复体脱落和根折的主要原因。 五 . 断根一定要取出的误区 根尖无炎症的牙齿包括阻生齿和异位牙齿根尖三分之一折断的断根是可以保留的。术前和患者沟通好若断根三分之一可以保留,没有必要牺牲很多的健康牙槽骨及患者的手术恐惧而花费好久去取健康的断根。尤其距离上颌窦和下牙槽神经较近的断根更是没有必要冒着给患者带来更大创伤的风险去操作。小的断根要么形成纤维包裹后与固有牙槽骨结合形成牙槽骨的一部分要么经过一段时间就“浮”出来了。浮到粘膜的断根用镊子或者止血钳轻易就可以取下,甚至无需麻醉。既缩短手术时间又减低了手术风险还保留了正常的牙槽骨,减少手术的出血。阻生齿的手术还能有效的预防干槽症的发生,因为手术时间过长和创伤过大是干槽症的主要诱因。 六 . 洗牙操作误区 多数人认为洗牙太简单了,其实也有不少的学问。很多医生用一个探头洗牙的光滑面又洗牙龈下又洗邻间隙,洗不干净的就用探头的尖端去除,这是不科学的操作。用洗光滑面或者洗邻面的探头去洗牙龈下的结石不但会破坏牙周组织还会增加感染几率,而且容易形成龈下结石去不干净。同样用洗邻面的探头尖端去洗牙齿光滑面会把牙齿釉质打出很多微小的坑凹,甚至造成牙齿的隐形裂纹,在垂直落射光下犹为明显。凹陷不但破坏了牙釉质本身而且还会造成菌斑和牙石的迅速积聚。隐裂会使牙质变脆有可能形成以后的牙釉质局部脱落。还会引起牙齿的过敏性反应,原理是釉质产生裂纹后,冷热酸甜会透过裂纹达到牙本质,本质小管内的神经纤维受刺激引发不适,虽然过些天裂纹接近釉质表面侧在唾液中的矿物质下得以修补隔绝外界刺激,但是隐裂靠本质侧不会得到修复。洗牙本身是起保护牙齿的,但操作错误往往起到相反的效果。 七 . 取模应注意的细节 1.取模前用气枪吹干基牙颈部或者粘膜上的唾液,否则模型边缘不清或者形成气泡,技工修整后不可能完全和口内一致。戴牙时候就会处理起来比较麻烦,边缘也不密合。 2.有的患者牙齿预备后,或者本身就有牙龈水肿的应该暂缓取模,先上药消炎待水肿消失后再复诊取模型。否则戴牙后牙龈水肿消退时露出肩台或者缺失牙处与镶的牙齿龈端出缝隙。 八 . 治疗时的去腐问题 很多医生习惯把龋洞内深染色的釉质和牙本质去除直到显现出正常颜色的组织,这种操作是极端错误的。去腐充填的目的是在保证治疗效果的前提下最大程度的保证健康的牙体组织,去除坏死崩解层和细菌侵入层即可,剩下有色素染色的脱矿层和透明层可以最大限度的保留患者的健康牙体组织。不会因为这样引起继发龋。研究表明这两层是无细菌的,即使有微量的也会因为治疗充填后改变了细菌的代谢环境而不会发生继发龋。临床上去除腐质达到表面硬而光滑组织为准,不要去除所有染色层,以免引起近髓牙齿敏感或者穿髓。前牙区为了美观防止补牙后色素颜色透出,在不会穿髓的情况下是可以去除所有染色层的。 九 . 牙体预备洞形的误区 有很多医生在充填复合体之前按照银汞合金充填的洞形备洞,一味要求底平壁直,无故去掉了很多健康的牙体组织,这是非常错误的。直壁边缘和树脂结合后,因为树脂和天然牙体的膨胀系数不同极易产生微渗漏,形成继发龋,甚至充填物脱落。复合树脂充填正常备洞是去掉软化腐质和无机釉后边缘磨出45度的2MM斜面无需做预防性扩展和底平壁直。过薄的无机釉容易折断是不可以保留的。 边缘做45度斜面的优点如下: 1. 增加粘接面积 2. 有效减少了因为膨胀系数不同形成的微渗漏 3. 使充填的复合体与牙体颜色有个自然的过度和衔 十 . 乳牙的拔出误区 有患儿牙齿龋坏比较严重只剩残根时,很多医生不论牙位及该牙的替换年龄直接采取拔除,拔出后也不做间隙保持器,这是相当不负责任的。患儿残根可以通过根管治疗后氧化锌根充得以保留患牙。因为有咀嚼力量的刺激有利于恒牙胚的发育和引导替代恒牙的正常萌出。乳牙早失往往造成恒牙异位萌出或恒牙早萌继而恒牙早失从而引发一系列错颌畸形的发生;乳牙早失后缺少了咀嚼力的刺激对儿童颌骨的发育是非常不利的。 十一 . 暴力拔牙现象 在拔除下颌低位或者水平阻生齿时,临床医生用钻磨除阻生齿的一部分牙冠,目的是去除近中阻力以便拔除。但在去除牙冠过程中牙冠的颊侧和舌侧靠近组织侧,常常有龈组织的遮挡。边缘位置较深处因为视野不清往往没有完全离断该牙冠和根。还有一部分牙冠顶到7的远中形成阻力和支点,就去用挺子用力翘,阻生齿在受力很大的情况下剩余阻力部分分块崩裂后取出。崩离剩余牙冠需要很大的力,这个力量被传导到7号牙上,术后引起该牙牙髓充血疼痛形成可复性牙髓炎或者不可复性牙髓炎,牙齿松动,前牙被带出,甚至下颌骨骨折。正确方法是用钻头打孔或者磨除大部分后用骨凿敲击近中障碍部使其整体完全脱落,不留阻碍支点,后挺出牙根。 十二 . 较浅的龋洞树脂充填后的疼痛 临床上有一小部分患者患有浅龋或者刚达牙本质浅层的中龋树脂充填后引起疼痛。浅龋是完全在牙釉质里面的窝洞,牙釉质是没有神经的。这种疼痛是由于固化后的树脂与牙体组织膨胀系数不同而造成的釉质受力,力量传导至牙本质,小管中的无髓神经纤维C神经受到刺激而引发疼痛(液体动力学说)。这种患者绝大多数是不用做去神经处理的,往往去除复合体疼痛即消失。若刺激引起的牙髓充血可复性牙髓炎时用氧化锌丁香油粘固粉安抚后疼痛即消失。 十三 . 超充问题 工作中有很多根管治疗后的牙齿出现超充的现象,患者出现胀痛咬合痛。究其原因 1. 医生根管预备过程中主尖挫和扩大针选择和使用不当突破了根尖狭窄部位 2. 根管预备后牙胶尖主尖选择不当 3. 试尖后没用X线确定 4. 确定根管长度后选择第一个辅尖过细,侧方加压时用力过大引起超充 5. 根管测量仪使用不当,根管预备到红色警戒线区,这时根尖狭窄部完全破坏成开放状 主要原因就是根管狭窄部被破坏,这时再测量各根管长度无任何意义,测量的长度已经是超充后的长度了。其实只要不破坏狭窄部想超充都很难,因为牙胶尖比较软尖端一碰到狭窄部就弯曲了,除非你选用20号以下的牙胶尖做主尖了。 十四 硅橡胶初印记录咬合关系:碰到一些比较特殊的情况,一般的蜡片咬不准,我在临床中使用普通的硅橡胶,效果不错。 十五 用注射法取模。临床印模不准确是造成修复体失败的一个重要原因,这是因为取模时存在气泡、龈缘不够清楚、模型上不光滑有瘤。强烈推荐使用注射法取模,注射器可以把印模材直接注射到邻面和龈沟内,注射时压力较大,不易产生气泡。应用注射法制取印模时应注意,传统法取模时时间较为充足,而注射法必需在注射完毕后,快速放入托盘,这样印模料不易分离 ,否则材料提前凝固造成取模失败。为了获取充足的操作时间在夏天最好用进口的印模材,加冷水调拌也能延长操作时间。 十六 这是根管治疗时常用的方法,小小橡皮标用途大,细心的牙医一看就明白是怎么用得,这些小技巧用好了根尖狭窄就不易被破坏了。 十七 烤瓷颜色做的色差大了再拍照片要做到三合一,(邻牙、烤瓷牙、比色板)这样技工在改色的时候才能做得更好。 十八 用硅橡胶试全瓷冠等内冠是否合适。 十九 活动桥修复游离端效果不好,后牙的残根可以这样处理 固定桥修复: 二十 这两件是休整硅橡胶用的,上一个是我用一次性镊子自己改得,下一个是手术刀。 二十一 这是我修整模型用的工具,一把手术刀和一根插在塑料棒上的缝衣针。临床上取模,无论是用进口的澡酸盐还是硅橡胶都难免有小瘤子或颈缘不连贯的地方,这两件东西可以帮你修整不足之处。 二十二 一个无痛操作病例: 一个小患者第一次就诊,对看牙极度恐惧不让钻磨,我先用锐匙去除窝洞边缘的腐质。 封无砷失活剂2周 复诊时去掉暂封物和腐质 进行下一步操作,揭去髓室顶,这时牙髓已经被无砷失活剂麻醉,不会再引起疼痛了。 实现了无痛开髓,下面的操作就容易了,因为我的操作不会带来痛苦,已经赢得了小顾客的信任。 图文来源网络,版权属于原作者 转载只为分享,如有侵权,请联系删除 扫一扫 | 客服微信 了解更多 | 行业招聘资讯 - 医招职达 - 让人才更有价值 做精准高效的口腔人力资源服务平台